Investigadores de la UVa crean imágenes `sintéticas´ que permiten mejorar el diagnóstico y el tratamiento del tumor cerebral maligno
Hoy 8 de junio se celebra el Día Internacional de los Tumores Cerebrales. La Universidad de Valladolid trabaja en colaboración con la Asociación Española Contra el Cáncer en Valladolid en mejorar la detección, el diagnóstico y el tratamiento de estos tumores, una enfermedad que se diagnosticó en 2021, a 4.457 personas, según datos del Observatorio del cáncer.
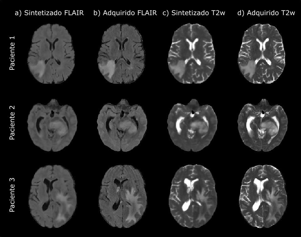
Fruto de este trabajo conjunto es la investigación llevada a cabo por Elisa Moya y Rafael Navarro, dos investigadores predoctorales de la UVa, que han conseguido generar gracias a la Inteligencia Artificial imágenes sintéticas que podrán utilizarse junto a las que se crean en una resonancia magnética, en el diagnóstico y la predicción del tratamiento del glioblastoma, el tipo más común de tumor cerebral maligno.
El glioblastoma es uno de los tumores cerebrales más agresivos, con un índice de supervivencia de aproximadamente un 40% en el primer año después del diagnóstico y un 17% en el segundo año, por lo que la predicción de su supervivencia resulta clave para el tratamiento eficiente y la planificación de la cirugía.
Esta nueva técnica desarrollada por los investigadores de la UVa, se suma a las que se utilizan actualmente en el diagnóstico, pronóstico y respuesta terapéutica a este cáncer cerebral, utilizando imágenes sintéticas de resonancia magnética y Radiómica. “Las imágenes sintéticas se generan con un sistema de inteligencia artificial que ha sido entrenado a partir de gran cantidad de imágenes reales obtenidas en las máquinas de resonancia magnética. Después utilizamos medidas matemáticas para comparar las imágenes sintéticas con las reales, usándolas también en la técnica de Radiómica, que se encarga de extraer características cuantitativas de las imágenes con las que lograr una herramienta predictiva para este tipo de cáncer cerebral. Esto puede facilitar una mejor planificación de su tratamiento o cirugía.”, explica Elisa Moya.
La generación de estas imágenes permitirá además, reducir la duración de las resonancias magnéticas; reemplazar imágenes artefactadas o de calidad degradada; y generar bases de datos que ayuden al diagnóstico de la enfermedad, tal y como señala Elisa Moya, “Durante la realización de este tipo de pruebas, el paciente debe permanecer totalmente inmóvil, lo que para algunas personas, con problemas de claustrofobia o niños, es bastante incómodo. Esta nueva técnica les da un mayor confort y además reduce costes también, ya que por ejemplo solo necesitaríamos dos imágenes de resonancia magnética, el resto podemos generarlas de forma sintética, por lo que el tiempo en el escáner se reduciría”.
El estudio forma parte de la tesis doctoral "Obtención de mapas paramétricos de T1, T2 y PD a partir de secuencias rutinarias de resonancia magnética mediante inteligencia artificial" que está realizando Elisa Moya, ingeniera de Telecomunicaciones por la UVa. Y en él ha colaborado también Rafael Navarro, ingeniero en Biomedicina por la Universidad Politécnica de Madrid, que realiza también su tesis doctoral "Radiómica en neuroimagen: uso de características de resonancia magnética para la predicción de resultados en patología cerebral”, en el Laboratorio de Procesado de Imagen de la ETS de Ingenieros de Telecomunicación de la UVa.
El trabajo publicado en la revista científica “NMR in Biomedicine”, está financiado por la Asociación Española Contra el Cáncer y el Ministerio de Ciencia y Tecnología, y ha sido dirigido por Carlos Alberola, catedrático de Teoría de la Señal y Comunicaciones de la Universidad de Valladolid.
“Synthetic MRI improves radiomics-based glioblastoma survival prediction”. Elisa Moya-Sáez,Rafael Navarro-González,Santiago Cepeda,Ángel Pérez-Núñez,Rodrigo de Luis-García,Santiago Aja-Fernández,Carlos Alberola-López First published: 29 April 2022 https://doi.org/10.1002/nbm.4754
